9日,浙江大学医学院附属邵逸夫医院发布自主研发的骨胶水——“骨02”碎骨黏。这一创新生物材料可用于大小骨折碎片的黏合固定,有望为骨科领域带来治疗模式革新。
浙大邵逸夫医院骨科主任范顺武介绍,在治疗骨折方面,传统金属固定方法难以实现解剖复位,固定小骨片过程费时费力,难以做到严丝合缝的拼接,且易导致骨碎片丢失或被吸收,造成骨量不可逆损失,进而引发骨愈合延迟或不愈合。
浙大邵逸夫医院骨科副主任医师林贤丰说,比起传统的螺钉、钢板,用骨胶水治疗粉碎性骨折能大幅减少手术操作时间、提升手术便捷性,也提高了病人骨折复位的效果。

多年来,科学家和临床医生从未停止对于骨黏合材料的探索。
浙大邵逸夫医院相关专家团队从牡蛎生物粘附机制中找到灵感,历经50余种配方迭代、数百次测试优化,结合大量动物实验,最终成功攻克了材料的生物毒性、血液环境黏合性和手术操作便捷性等关键难题。
这一凝聚创新智慧的成果被赋予了一个有趣的名字——“骨02”,源于家喻户晓的“502胶水”,寓意对其在骨科领域实现同等强效黏合与广泛应用的期许。
实验数据显示,“骨02”最大黏合拉力可达400多斤,具有替代金属内固定物的潜力,同时可降低金属异物反应和感染风险,大幅提升手术效率、减少术中创伤,实现真正的骨科手术微创化。
在血液浸润的湿性生理环境下实现2到3分钟即时、强效黏合;
材料可完全生物降解,约6个月后随骨愈合而自然吸收,实现真正的“无痕”,免除传统手术需二次手术之苦。
案例:
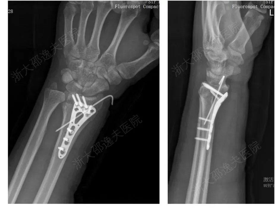
一位年轻工人因外伤导致腕部桡骨远端粉碎性骨折,传统治疗方案需大切口植入钢板螺钉,不仅创伤大、存在肌腱粘连或神经损伤风险,且需术后一年行二次手术取出。

桡骨远端骨折金属内固定治疗病例
应用“骨02”黏合技术,仅通过微创切口注入“胶水”材料,短短3分钟内即完成了粉碎骨块的精准黏合与固定。术后3个月随访显示,患者骨折愈合良好,无并发症,腕关节功能完全恢复。

桡骨远端骨折通过“骨02”治疗病例
林贤丰表示,该材料几乎适用于全身所有部位、各种尺寸的骨折修复,尤其是传统器械难以固定的微小碎骨。由于其快速黏合和使用便捷的特点,将来有望用于国防战事、灾害救援等特殊场景下的骨折紧急救治。
